Hikmet Faruk Başer
19 Kasım 2024•Güncelleme: 19 Kasım 2024
İTÜ Bilişim Enstitüsünden bilim insanları ile İTÜ Arı Teknokent bünyesindeki araştırmacılar, kanserli hücrelerin yapay zekayla tespit edilebilmesi için 2015 yılında ortak çalışma başlattı.
Bu çalışmalar kapsamında bilim insanları, hastalardan alınan doku örneklerini mikroskopla inceleyerek yorumlayan yapay zeka destekli yazılım geliştirdi.
Yerli olarak geliştirilen yapay zeka destekli yazılımla kanserli hücreler kısa sürede tespit edilebiliyor.
İTÜ Bilişim Enstitüsü ile Yapay Zeka ve Veri Mühendisliği Bölümü Öğretim Üyesi Prof. Dr. Behçet Uğur Töreyin, AA muhabirine yaptığı açıklamada, çeşitli kanser türleri için özelleşmiş görüntü analiz yöntemleri üzerine çalıştıklarını söyledi.
Yaptıkları çalışmalarla patologların iş yükünü hafifletmeyi amaçladıklarını belirten Töreyin, farklı patologlar arasındaki görüş farklılıklarını engelleyecek, tamamen görüntü analizine dayalı bir sistem geliştirdiklerini kaydetti.
Töreyin, patologların mikroskop altında alınan doku örneklerini inceleyerek kanser tanısında bulunduklarını vurgulayarak, "Bu meşakkatli bir süreç. Bu noktada geliştirdiğimiz görüntü analizi yöntemleriyle aslında onlara destek olacak, hücre sayımını ya da tanıyı kolaylaştıracak sistemler geliştiriyoruz." dedi.

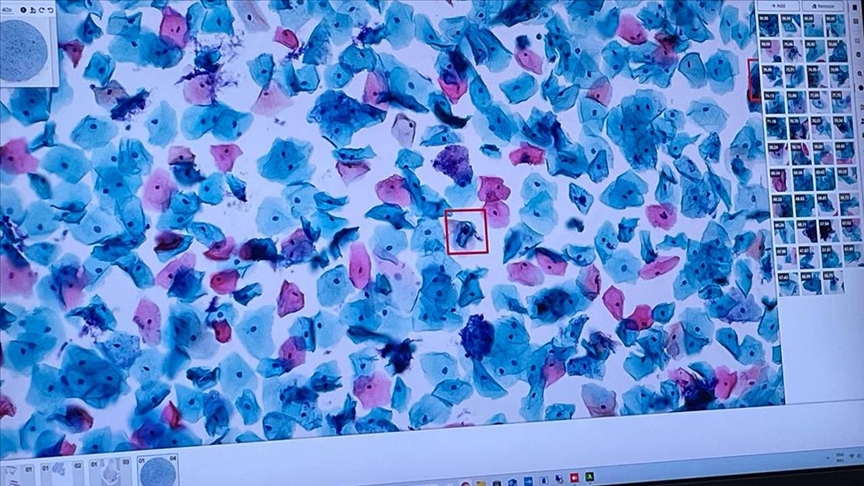
"Mikroskobun ucunda patoloğun gözü yerine bu kez bir kamera yer alıyor"
Geliştirilen yazılımla kanserli hücrelerin tespitinin daha hızlandığının altını çizen Töreyin, "Saniyeler içerisinde belli bir bölgeyi analiz edip içerisinde kanserli hücre olup olmama durumunu tanıyabilecek bir sistem geliştirdik. Farklı kanser türleri ve doku örnekleri için özelleşmiş bir karar destek sistemi. Burada son kararı yine patolog veriyor. Patologların devreden çıkması gibi bir şey söz konusu değil. Daha önceden mikroskop altında tek tek saydıkları hücreleri şimdi bilgisayarlı görüye dayalı geliştirilen algoritmalar sayıyor, hem de çok daha hızlı ve yüksek doğrulukla. Kazanılan süreyi patologlar elde ettikleri bu bulguları yorumlayarak, daha doğru karar vermede kullanıyorlar. Hastalardan alınan doku örneği, sıradan patoloji uygulamalarındaki gibi mikroskop altına yerleştiriliyor. Ancak klasik uygulamanın aksine mikroskobun ucunda patoloğun gözü yerine bu kez bir kamera yer alıyor. Kamera ile elde edilen görüntü sayısallaştırılarak bilgisayar ortamına taşınıyor. Geliştirilen bilgisayarlı görü yordamlarına dayalı olarak çalışan yazılım ile çözümlenen görüntülerde, kanserli hücreler anlık tespit ediliyor."
"Yazılımın teşhisi doktorların tablet ve telefonlarına anında iletiliyor"
Geliştirdikleri yapay zeka temelli yazılımdaki başarı yüzdesinin yüksek olduğunu vurgulayan Töreyin, başarı yüzdesinin kullanılan veri kümesine, alınan örneklere ve kanser türüne göre değişebildiğini belirtti.
Prof. Dr. Töreyin, sistemin kanser hücrelerinin tespitinde patologlara ek bir görüş sunduğunu dile getirerek, "Yapay zekaya dayalı bu yazılımın teşhisi doktorların tablet ve telefonlarına da anında iletiliyor. Yazılımla, 'Şu doku şu seviyede kanserlidir.' şeklindeki gibi bir kararı, görüntü analiz sistemi doktora sunabiliyor." dedi.
Çeşitli hastanelerde sistemin kullanılmaya başlandığını vurgulayan Töreyin, işlerini kolaylaştırdığı için patologların büyük bir kısmının sisteme olumlu baktığını belirtti.
Töreyin, "Bu teknoloji, hastalara bildirilmesi aylar süren tanı sonuçlarının birkaç günde verilebilmesini olanaklı hale getiriyor." dedi.